~但記得要收好喔!
年後開工遇到米米和妹妹來看診,原本看到活蹦亂跳的小女娃,還以為單純是呼吸道感染的問題,結果看診快結束時,媽媽話峰一轉突然說:米米昨晚玩錢母卡,就把一元硬幣吞下肚了!
蛤!看媽媽一臉淡定,一開始,我還以為我聽錯了
媽媽說,看孩子沒有不舒服,想說隔天早上要來找醫師看診,就想來問問我要如何處理
雖然一元硬幣只要能通過食道,通常會排出的機會很大,還是請家長先帶去照X光片
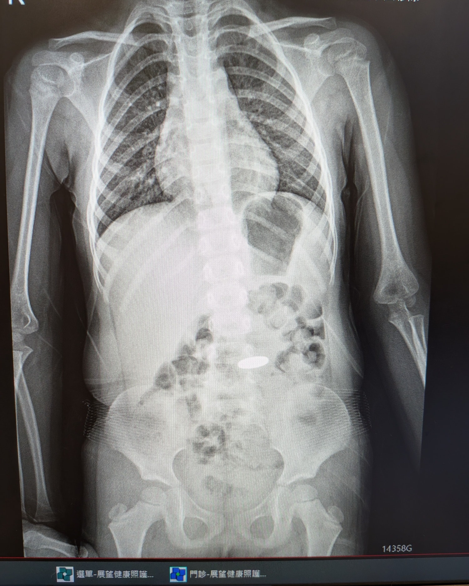
今天小孩回診,我也順便上雲端系統看看硬幣在哪兒,幸好硬幣已經通過食道![]()
接下來,就是每天認真觀察米米的便便囉
兒童不小心把新台幣1元的硬幣吞進去了,會自己排出來嗎?
答案是:多數情況會,但要看「硬幣目前卡在哪裡」。
如果 1 元硬幣已經通過食道、進到胃裡,在孩子沒有症狀的情況下,通常會隨著腸胃蠕動自行排出;很多孩子會在2–3 天內排出,但也可能需要幾天到數週(甚至到約 1 個月)才排出。
如果硬幣卡在食道(最常卡的地方之一),就不一定會自己掉下去,可能需要醫療處置;因此通常建議用 X 光確認位置,這也是臨床指引強調的處理重點之一。
當你發現孩子把一元硬幣吞下肚時
只要出現以下任何一項就不要等:
呼吸困難、喘、持續咳嗽/嗆咳
流口水、吞嚥困難、喝不下水
持續嘔吐、胸痛/腹痛明顯、精神差
咳血/吐血、黑便、發燒(合併腹痛更要小心)
若孩子目前看起來還好(能喝水、呼吸正常)
仍建議儘快(最好當天)聯絡小兒科/急診評估,通常會安排 X 光確認是否真的為硬幣、以及位置(因為有些危險物例如鈕扣電池,外觀可能被誤認;是否已進胃無法只靠外觀判斷,需要影像確認)。
若影像確認在胃裡、且完全無症狀
一般會採觀察:在家留意排便是否排出。若硬幣在胃裡2–4 週仍未排出,臨床多會考慮安排選擇性內視鏡取出。
在家照護注意事項
不要催吐、不要自行亂用瀉藥或偏方。
孩子若能正常吞嚥,可正常飲食與補充水分;若吞嚥不順就先別硬餵,直接就醫喔!



